МЭДРЭЛИЙН ЭМГЭГ СУДЛАЛ
Эрүүл хүн та эрүүл нийгмийн үндэс.
Мэдрэлийн эмчилгээ
Уромед эмнэлгийн мэдрэлийн тасаг нь мэдрэлийн тогтолцооны өвчнүүдийг нейрофизиологийн болон нейрорадиологийн оношилгооны орчин үеийн тоног төхөөрөмжүүдийг ашиглан олон улсын стандартын дагуу оношлон, зөвлөгөө өгч, эмчилгээг амбулатори, өдрийн эмчилгээ болон хэвтэн эмчлүүлэх тасагт үзүүлж байна.


Тархины судасны эмгэгүүд
Мэдрэлийн тогтолцооны дараах өвчин, эмгэгийг оношилж, эмчилж зөвлөгөө өгч байна.
- Тархины судасны өвчин, эмгэгүүд (тархины цус харвалт, харвалтын үлдэц, тархины судасны хатуурал, нарийсал, бөглөрөл)
- Толгой, нүүрний өвдөлт
- Хүзүү, нуруу болон үе мөчний өвдөлт
- Толгой эргэлт, тэнцвэр алдалт
- Хөдөлгөөний тогтолцооны өвчнүүд
- Мэдрэл –булчингийн өвчнүүд
- Эпилепсийн уналт таталт
- Захын мэдрэлийн эмгэгүүд
- Нойргүйдэл, нойрны хямрал
- Мэдрэл сульдал, ядаргаа, сэтгэл түгшил, стресс
Оношилгоо
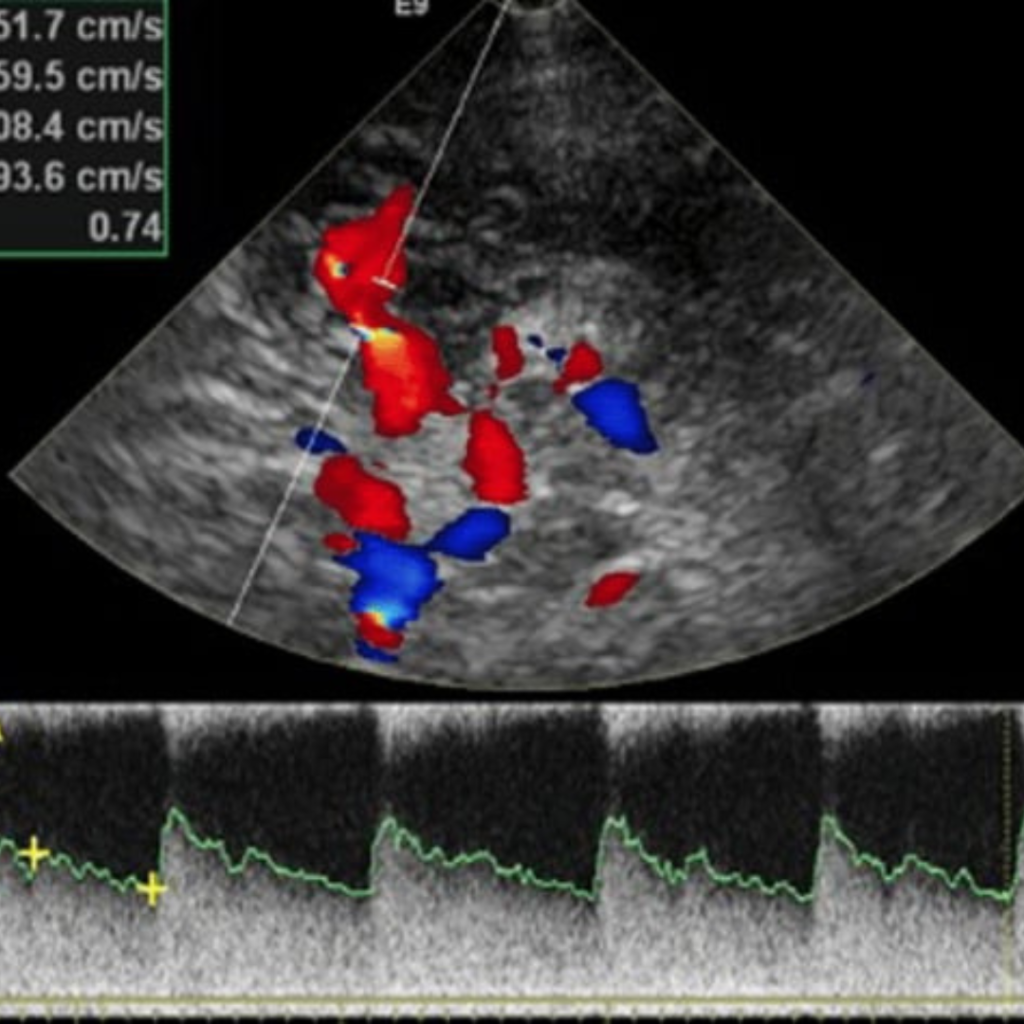
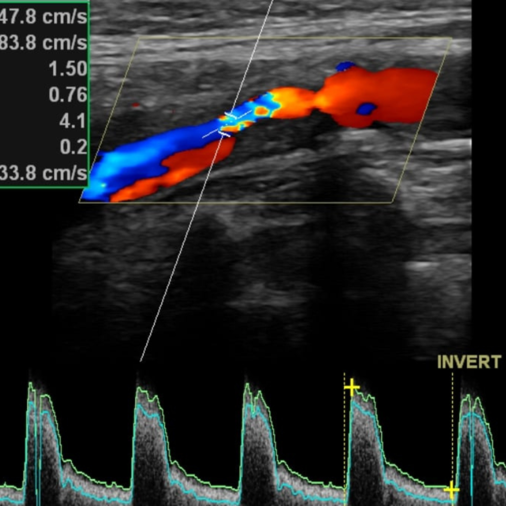
Уромед эмнэлгийн мэдрэлийн кабинет нь БНСУ-ын 2025 онд үйлдвэрлэсэн орчин үеийн шилдэг Samsung Medison V6 загварын хиймэл оюун ухаан дээр суурилсан аппаратаар тархины судасны өнгөт хэт авиан Допплер-Дуплекс шинжилгээг хийдэг.
тархины судасны өнгөт хэт авиан Допплер-Дуплекс шинжилгээгээр
Тархины судасны цусны урсгалын хурд, хөдлөл зүй

Судасны ханын
бүтэц, хатуурал, товруу

Гавлын гаднах,
доторх судасны
нарийсал, бөглөрлийг

Хиймэл оюун ухаан дээр суурилсан автомат хэмжилтээр маш өндөр түвшинд нарийвчлан дүрслэн харж үүссэн судасны атеросклерозын товруу, эмгэгийг хэмжиж, судасны нарийслын хувийг тогтоож, бөглөрөл буй эсэхийг шууд харж оношлогоо хийдгээрээ маш давуу талтай.
Тархины судасны өнгөт хэт авиан дуплекссонографи шинжилгээ нь тархины судасны өвчнүүд, тархины цус хомсрох харвалт, шигдээс үүсэхээс урьдчилан сэргийлэх, эрт илрүүлэх, оношлоход чухал ач холбогдолтой дүрс оношилгооны бусад аргуудтай харьцуулахад харьцангуй өртөг багатай, цаг хугацаа хэмнэсэн инвазив бус шинжилгээний арга юм.


